Caz probono
Daca esti abonat la newsletter-ul nostru, atunci stii ca te-am rugat sa ne recomanzi un pacient, pe care sa-l tratam pro bono! Ei bine, acestea este un caz probono:
Descriere caz probono
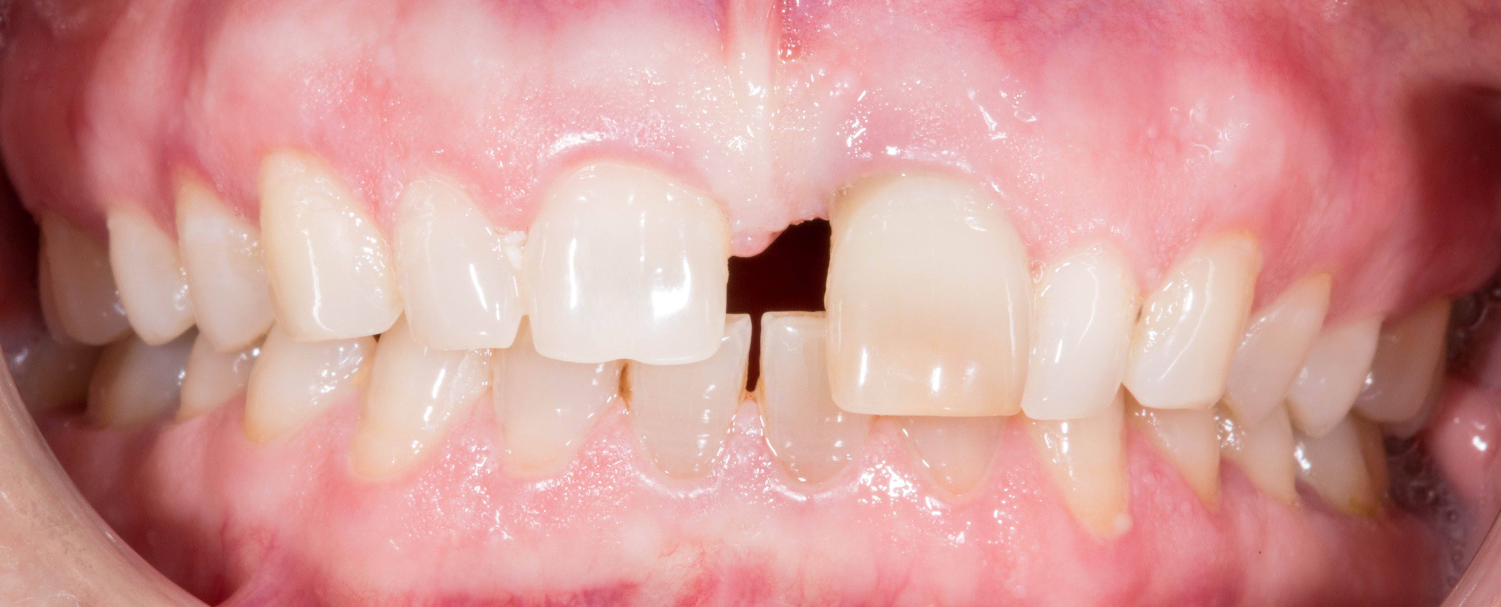
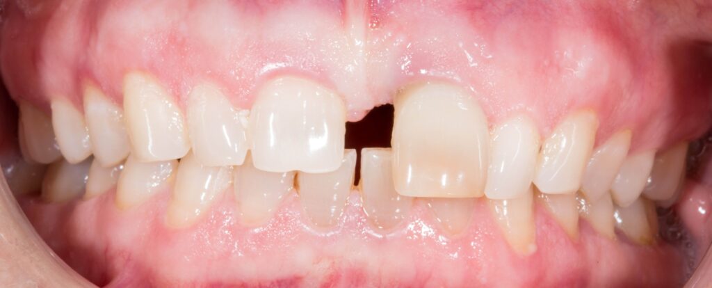
Starea initiala a fost de afectare parodontala (inflamatie gingivala si distructie a osului de suport) in special la nivelul molarilor (maselelor) dar si a unui dinte frontal superior. Afectarea cea mai mare, care a reprezentat si problema principala de care pacienta se declara nemultumita, s-a observat la nivelul dintelui din fata. La el, pe partea stanga sus, unde din cauza pierderii mari a suportului osos, dintele si-a modificat pozitia – s-a deplasat spre obraz si in jos. De asemenea, din cauza defectului osos extins in profunzime pana la varful radacinii, a fost afectat nervul si vascularizatia dintelui. Astfel, vitalitatea dintelui s-a pierdut si s-a modificat culoarea a devenit maronie-gri).
Ca tratament, in prima faza s-a dorit indepartarea factorilor ce intretineau inflamatia. S-a realizat indepartarea maselelor de minte si a unei masele din partea stanga sus, la care distructia osoasa majora o facea irecuperabila. Pentru celelalte zone in care gingia prezenta inflamatie (forma medie de afectare parodontala) s-a realizat o curatare profunda a spatiilor dintre dinte si gingie.
Tratamente realizate
Pana in momentul de fata doar aceste tratamente au fost realizate.
Pentru zona frontala afectata s-a optat pentru varianta de tratament de inlocuire a dintelui migrat. A fost pusa o coroana avand ca suport un implant dentar.
Inainte de extractia dintelui si inserarea implantului dentar, sunt necesare tratamente de pregatire a osului. Acesta trebuie sa fie intr-o cantitate suficienta, cu o conformatie favorabila si o pozitionare optima a coroanei pentru inserarea implantului. In acest sens, tratamentul pregatitor consta in:
– tratamentul de canal al dintelui in cauza. Se va indeparta continutul necrozat din interiorul din interiorul dintelui ce poate reprezenta o sursa de infectie;
– tratamentul chirurgical parodontal. Se va curata si regenera defectul osos din jurul dintelui;
– tratamentul parodontal. Se va stimula cresterea inaltimii prin tractionarea dintelui in afara osului, in jos.
Tratamentul alternativ ar fi fost de repozitionare a dintelui pe locul care trebuia sa fie in mod natural, deci de tractiune a lui in sus si spre cerul gurii insa prognosticul pe termen mediu si lung ar fi fost nefavorabil si exista riscul de afectare in continuare a suportului osos.
Va tinem la curent,
Echipa Trident
Last Updated on 25 October 2019

