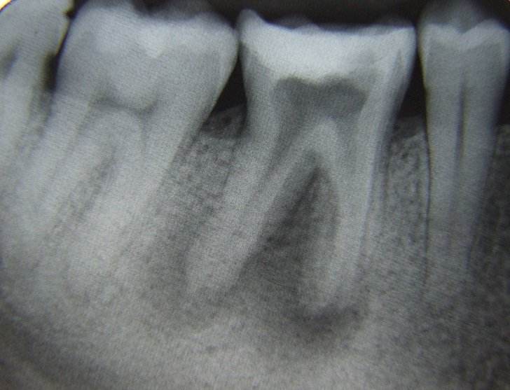
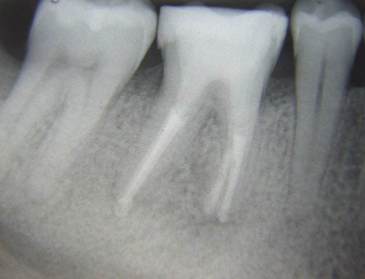
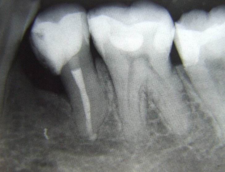
Desi nu este de dorit, uneori se constata prezenta unor leziuni extinse (granuloame, chisturi) care daca nu sunt rezolvate corespunzator, pun in pericol viabilitatatea dintelui.
Din nou tratamentul sub microscop optic efectuat de catre specialistii endodonti poate duce la salvarea dintelui.




| Tip | Pret |
|---|---|
| Tratament endodontic monoradicular (microscop) | 1000 RON |
| Tratament endodontic pluriradicular (microscop) | 1500 RON |
Vezi toate preturile aici.
Experienta profesionala 2007 – prezent S.C. Trident Dental SRL Medic dentist practica limitata endodontie Educatie si formare 2000- 2006 U.M.F. „ Carol Davila” , Bucuresti Facultatea de Medicina Dentara Tipul calificării / diploma obtinuta: Doctor- Medic Dentist 1996- 2000 Colegiul National „Al. Ioan Cuza” , Focsani Tipul calificării / diploma obtinuta: Diploma de Bacalaureat Informatii […]
profilExperienta profesionala Universitatea de Medicină şi Farmacie “Carol Davila”, Bucureşti, România, Facultatea de Medicina Dentara, Catedra de Endodontie Preparator universitar Activitate clinica şi activitate de cercetare, seminarii-studenti. Participari la seminarii şi cursuri. Prezentări la diverse reuniuni şi congrese. Universitatea de Medicină şi Farmacie”Carol Davila”, Bucureşti, România Facultatea de Medicina Dentara, Catedra de Enodontie Asistent Universitar […]
profil