Evolutie tratament caz #probono
Îţi povesteam aici despre cazul nostru #probono.
Te intrebai ce s-a mai intamplat cu pacientul ? Iată: după ce s-a tratat inflamația gingivală, tratamentul s-a adresat zonei frontale unde scopul este oferirea unei armonii functionale si estetică prin înlocuirea dintelui modificat ca pozitie si aspect cu o coroana avand un implant dentar ca suport. Este esential, însă, ca implantului sa i se ofere un suport osos suficient si un contur al gingiei plăcut. Pentru aceasta, pacienta a beneficiat în ultima perioadă de tratamente ajutătoare:
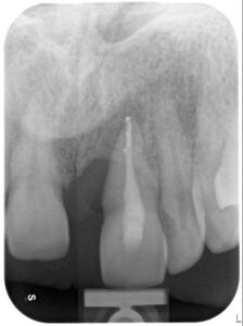
– tratament endodotic: pentru ca în interiorul dintelui nervul și vasele de sange era afectate, cu risc de infectie, s-a realizat tratamentul de canal.
– tratament parodontal chirurgical: din cauza faptului ca dintele modificat avea în jurul lui o distructie mare a osului, prin interventia chirurgicala s-a îndepartat gingia alterata care umplea acel defect osos altfel încat nu doar sa fie oprita distructia osului ci si sa stimuleze refacerea partiala o osului.
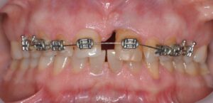
– tratamentul ortodontic: prin acesta dintele modificat se trage în jos prin miscari controlate de aparatul ortodontic iar dintele coborat în acest fel va trage dupa el, pe de o parte osul din profunzime si va creste nivelul și volumul sau, și pe altă parte, marginea gingiei care este nevoie sa ajungă la nivelul dintelui sanatos vecin pentru simetrie.
Aceste tratamente sunt doar intermediare, volumul osului va creste în acest fel dar nu suficient pentru plasarea implantului, pentru care va fi nevoie de o interventie ulterioară.
Va tinem la curent,
Echipa Trident
Last Updated on 29 May 2017


