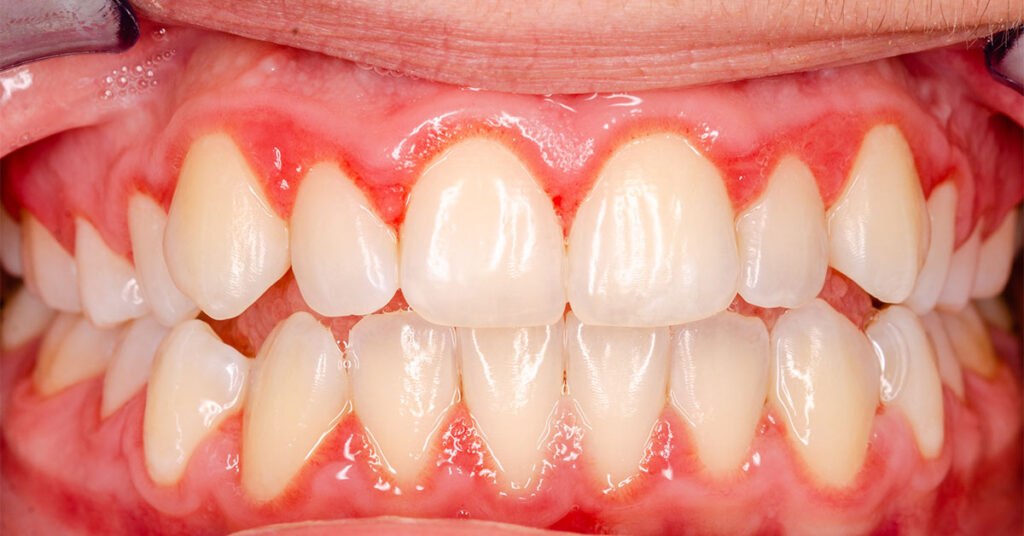
gingivita

Gingivita este cea mai usoara afectiune a gingiilor si cea mai raspandita din categoria sa. Gingiile se pot umfla, se inrosesc si devin iritate si  sangereaza la periaj. Pacientii, daca nu isi analizeaza dantura suficient si la timp, pot descoperi afectiunea destul de tarziu. Gingivita netratata duce, in unele cazuri, la parodontita si la pierderea dintilor.

Ce este gingivita?

Afectiunea gingiilor este consecinta neglijentei fata de igiena orala. Periajul incorect este primul pas catre formarea placii bacteriene, care aduna toxine. Dupa cateva zile, placa se intareste si se transforma in tartru. Odata format, tartrul nu mai poate fi indepartat doar prin periajul dintilor, ci in cabinetul stomatologului, cu ajutorul unui detartraj profesional. Alte cauze ale aparitiei gingivitei mai sunt: fumatul, varsta inaintata, diabetul, imunitatea scazuta, anumite tratament medicamentoase si nu numai.
In timp, gingiile devin moi, rosii si pot sangera des. In aceasta etapa, bacteriile se aduna in interiorul gingiei si, pe masura ce afectiunea avanseaza, ele se imprastie si genereaza din ce in ce mai multe probleme. Desi sistemul imunitar se lupta cu bacteriile, medicul stomatolog este cel care poate determina si elimina aceasta situatie.

Cum ne ajuta stomatologul?

Odata ajunsi in cabinetul stomatologului, pacientii vor beneficia de un tratament gingivita eficient, impreuna cu cateva intrebari despre obiceiuri culinare si sanatate. Consultatia pentru gingivita poate include si detartrajul, care va elimina placa bacteriana si urmele de tartru. Ca sa poata usura ingrijirea corecta a dintilor, medicii dentisti pot face si ajustari la lucrarile pacientilor. Nu exista o medie a duratei gingivitei, insa programarea la cabinetul stomatologului nu trebuie amanata.

Dupa ce stomatologul a aplicat pacientului un tratament pentru gingivita, ofera consultanta pentru o ingrijire corecta a danturii. Pacientii trebuie sa isi igienizeze dantura nu doar cu pasta de dinti, ci si cu ata dentara sau apa de gura. Acasa, pacientul va efectua un continuu regim de preventie a gingivitei curatand dintii o durata de 3-5 minute.

Vezi oferta noastra medicala pentru

Medicii nostri te ajuta sa tratezi Gingivita

Vreau o programare
Meniu
Meniu
Meniu
Clinica Trident © 2026 . POLITICA DE CONFIDENȚIALITATE | POLITICA DE UTILIZARE A COOKIE-URILOR | Harta Site Clinica Trident
Clinica Stomatologica Trident Str. Louis Pasteur nr 1A, Bucuresti, 050533 | Telefon: 031 005 0920 | Email: office@clinicatrident.ro
clinica dentara bucuresti

Clinica Trident, una dintre cele mai bune clinici dentare din Bucuresti, va asteapta intr-un spatiu modern, atat in zona Cotroceni dar si Herastrau. Suntem aproape de tine, cu o echipa de medici de top, la preturi excelente.

Clinica stomatologica Bucuresti, Clinica dentara Bucuresti o echipa de 20 de medici specialisti te poate ajuta cu: extractii dentare, aparate dentare, albire dinti, plombe, indreptarea dintilor, estetica dentara, clinica stomatologica pentru copii

In clinica noastra vei avea o experienta placuta, fara suferinta, o clinica ce ofera atat implanturi dentare oferite de orice cabinet stomatologic dar si servicii stomatologice complexe, operatii dificile realizate in propriul bloc operator.

A fost un drum lung alaturi de pacientii nostri dar am inteles ca respectul pentru client incepe de la primul contact pana la urmarirea ulterioara a planului de tratament, pentru a oferi o experienta completa pacientului.

Fie ca doresti sa merg la un anumit medic stomatolog sau cunosti doar problema si ai nevoie de o solutie, fie ca e vorba de un implant dentar sau cauti un medic specializat in estetica dentara, in cadrul clinicii Trident vei gasi toate specializarile stomatologice de care ai nevoie.

Alege o clinica moderna in locul unui cabinet stomatologic, avand in acest fel acces la mai multe facilitati medicale, la mai multi medici stomatologic nu doar la un singur medic stomatolog